Cas cliniques
avant & apres

Cas réalisés exclusivement par le Dr Pablo ALVAREZ JUNCO

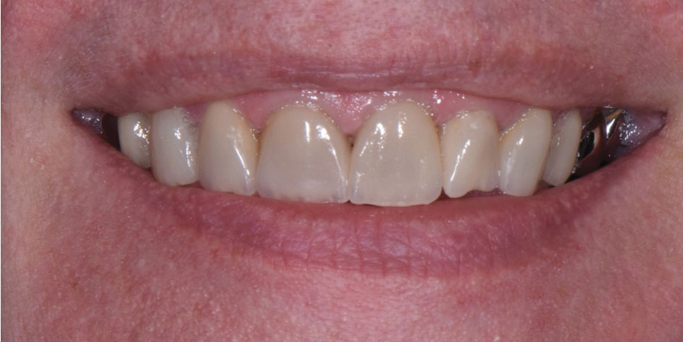
Cas avant & après
Réalisation d’un projet esthétique sans altération des dents, permettant au patient de visualiser la forme finale avant le début du traitement (étape du mock-up).

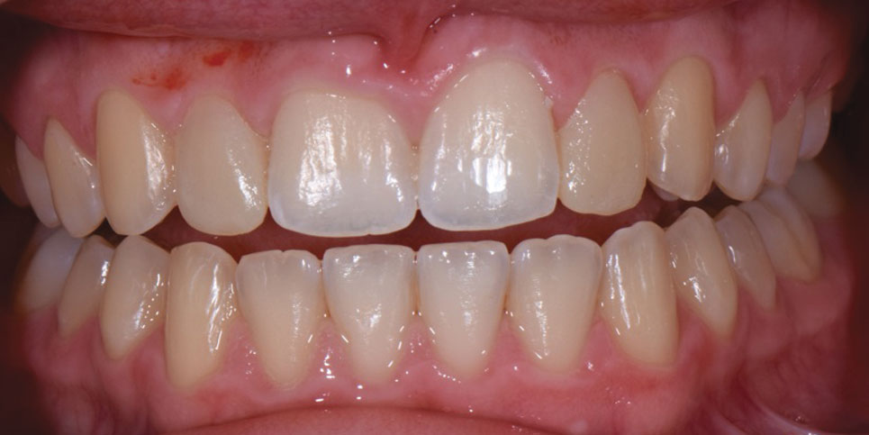
Cas avant & après
Résultat avant/après d’un traitement esthétique par facettes.

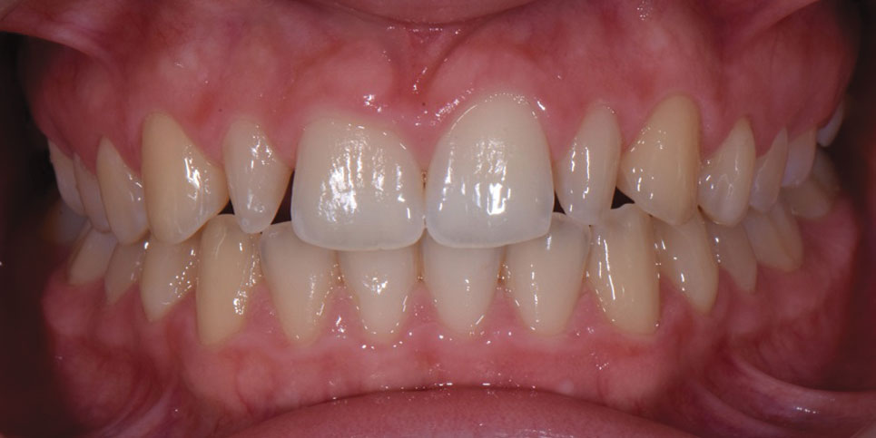
Cas avant et après
Modernisation du sourire grâce au remplacement d’anciennes couronnes par des restaurations plus fines, plus naturelles et invisibles.

Cas avant et après
Remplacement d’anciens plombages foncés par des matériaux esthétiques, de la couleur naturelle des dents.

Cas avant et après
Traitement de malformation en grain de riz.

Cas avant et après
Restauration de l’esthétique par le moyen de prothèses en céramique.

Chirurgien dentiste à Tourville-la-Rivière

HORAIRES

Lundi au Jeudi de 09h à 13h
et de 14h à 19h

NOUS SITUER

37 rue Jean Jaurès
76410 Tourville-la-Rivière

SECRÉTARIAT

Contactez-nous au
02 35 77 25 25

Retour en haut